治療例
治療例


| 治療内容 | ジルコニアインレー |
|---|---|
| 治療費用 | ¥143,000×2歯 = ¥286,000 |
| 治療回数 | 2回 |
| リスクと副作用 |
|


| 治療内容 | ジルコニア クラウン |
|---|---|
| 治療費用 | ¥143,000 |
| 治療回数 | 3~6回 |
| リスクと副作用 |
|


| 治療内容 | ジルコニア クラウン |
|---|---|
| 治療費用 | ¥143,000 |
| 治療回数 | 2回 |
| リスクと副作用 |
|
| 院長コメント | ①むし歯を治療して歯を型どりする時 ②ジルコニアを歯と接着させる時 唾液を極力排除する必要があります。ラバーダムというゴムの膜を用いて歯を唾液から隔離します。今回はかぶせ物(クラウン)の形で接着面全周をラバーダムの上に出すのはかなり難しかったのですが、工夫をすることで接着面全てをラバーダムの上に設置することができ、接着力を最大限に発揮できました。 |


| 治療内容 | ジルコニア インレー |
|---|---|
| 治療費用 | ¥143,000 |
| 治療回数 | 2回 |
| リスクと副作用 |
|
| 院長コメント | 神経を抜いた歯をジルコニアの詰め物(インレー)で修復しました。保険診療では神経を抜いた歯の多くは歯があまり残っていないのでクラウンで修復しますが、ジルコニア治療は接着技術を最大限に発揮することで歯を補強できます。結果的に①歯の削る量が最小限にできる②虫歯になるリスクを最大限に小さくできる。 |


| 治療内容 | ジルコニア クラウン |
|---|---|
| 治療費用 | ¥143,000 |
| 治療回数 | 2回 |
| リスクと副作用 |
|
| 院長コメント | 神経を抜いた歯をジルコニアクラウンで修復しました。ホワイトニングをされる予定だったので技工士・患者様と打ち合わせをして歯の色を2段階白く作成しました。しっかりと全周ラバーダムの上にだして唾液から隔離した状態で接着技術を最大限に発揮させています。 |


| 治療内容 | セラミック インレー |
|---|---|
| 治療費用 | ¥143,000×2=¥286,000 |
| 治療回数 | 2回 |
| リスクと副作用 |
|
| 院長コメント | 歯と色がマッチしやすいセラミックを採用しました。ジルコニアよりもよりグラデーションがついて色がなじみやすい材質となります。ラバーダムを用いることで接着力を最大限引き出すことができるようになり、むし歯の再発するリスクを極限まで下げることができます。 |


| 治療内容 | セラミック オンレー |
|---|---|
| 治療費用 | ¥143,000 |
| 治療回数 | 2回 |
| リスクと副作用 |
|


| 治療内容 | ダイレクトボンディング |
|---|---|
| 治療費用 | ¥55,000×2歯 = ¥110,000 |
| 治療回数 | 1回 |
| リスクと副作用 |
|


| 治療内容 | ダイレクトボンディング |
|---|---|
| 治療費用 | ¥55,000×2歯=¥110,000 |
| 治療回数 | 1回 |
| リスクと副作用 |
|


| 治療内容 | ダイレクトボンディング |
|---|---|
| 治療費用 | ¥55,000 |
| 治療回数 | 1回 |
| リスクと副作用 |
|


| 治療内容 | ダイレクトボンディング |
|---|---|
| 治療費用 | ¥50,000×2歯=¥100,000 |
| 治療回数 | 1回 |
| リスクと副作用 |
|
| 院長コメント | 本来はジルコニアインレーのほうがいいのですが、患者様の費用面を抑えたい希望がありました。そこでお口の中で直接専用プラスチックを築盛するダイレクトボンディングにて修復しました。保険のプラスチックとの大きな違いは ①専用の材料なので耐摩耗性が高い・色がマッチしやすい ②ラバーダムを装着して行うので接着技術を最大限に発揮できる があります。 |


| 治療内容 | ダイレクトボンディング |
|---|---|
| 治療費用 | ¥55,000 |
| 治療回数 | 1回 |
| リスクと副作用 |
|


| 治療内容 | ダイレクトボンディング |
|---|---|
| 治療費用 | ¥44,000×2歯=¥88,000 |
| 治療回数 | 1回 |
| リスクと副作用 |
|


| 治療内容 | 全顎治療 |
|---|---|
| 主訴 | 左上の歯が噛んだら痛い。全体をしっかり治したい |
| 診断 | 左上7根尖性歯周炎、全体的にかぶせ物が合っておらず、むし歯のリスクが高い状況でした |
| 治療期間 | 11か月 |
| 治療費用 | 補綴費用¥1,840,000-+ホワイトニング |
| リスクと副作用 |
|
| 院長コメント | とてもお優しい60代女性の方です。聞こえに困難のある方だったので、筆談を毎回行いました。どうしても時間はかかってしまいますが、当院のコンセプトの「しっかりとお伝えする」を行い、カウンセリングと説明を丁寧に2時間ほど行いました。受け口に関しては外科矯正が必要だったので希望されませんでした。かぶせ物に隙間ができていた事、金属のかぶせ物は厳密には歯と接着していないことをお伝えしたところ、長持ちする歯を希望されたのでジルコニア修復治療およびダイレクトボンディングを行いました。一本ずつ治療する際もマイクロレベルでかみ合わせの調整を行い、ずれないよう注意しました。ホワイトニングもする予定だったのであらかじめかぶせ物を予定される白さに設定しました。治療終了後、結果にとても満足され、今でもメインテナンスで通っていただき、笑顔でお話してくださいます。 |


| 治療内容 | 全顎治療 |
|---|---|
| 主訴 | 他院で下の前歯削られた。銀歯を白くしたい。入れ歯の針金見えなくしたい |
| 診断 | 臼歯部欠損による咀嚼障害 |
| 治療期間 | 1年1ヶ月 |
| 治療費用 | 補綴費用ジルコニアクラウン¥120,000×18本+金属義歯¥500,000=¥2,660,000+税 |
| リスクと副作用 |
|
| 院長コメント | 奥様のご紹介で来られた60代男性の方です。奥様と同様でとても温和でやさしい方でした。聞こえの困難がある方だったので、すべて筆談で致しました。患者様の希望を踏まえた治療計画はもちろんの事、「どうしてその治療が必要なのか」「治療を選択する際のメリット・デメリット」を丁寧にお伝えし、数回コンサルティングを繰り返し、納得していただいた上で進めていきました。かみ合わせがずれていた可能性があったのでスプリントをほぼ24時間1か月ほど装着してもらい、顎の楽な位置を確かめると同時にすり減った分の歯を補う高さを仮決定しました。そののち精密仮歯と仮の入れ歯を作製し、2か月様子を診ました。全体的な微調整を行った後最終的な補綴物に置き換えていきました。患者様は①歯の長さが適切になったこと②銀歯が白くなったこと③長持ちする治療を受けられたこと④針金が見えなくなったこと、大変喜ばれました。3カ月に一度のペースでメインテナンスに通っていただいております。 |


| 治療内容 | 全顎治療 |
|---|---|
| 主訴 | 検診希望。ちゃんとした治療を受けたい |
| 診断 | 多数の補綴物不適合 |
| 治療期間 | 5か月 |
| 治療費用 | 補綴費用¥930,000- |
| リスクと副作用 |
|
| 院長コメント | 当院で全顎治療を受けられているご友人からの紹介の70代女性でした。水平にチェアを倒すとめまいがするとのことで起こし気味で治療させていただきました。数十年前に治療された金の詰め物が多数装着されていましたが、詰め物と歯との合いが悪くなってきていましたので、ご説明し、長持ちするジルコニアによる修復を計画しました。一本ずつやり替える際、かみ合わせを変えないよう、調和した補綴物となるよう心掛け、口腔内でチェックを徹底しました。また、前歯はダイレクトボンディングにて修復しました。ラバーダムを設置することで接着面を唾液から完全隔離し、最大限接着力を高めることができました。 大変きれいになったと喜んでもらえました。 |


| 治療内容 | 全顎治療 |
|---|---|
| 主訴 | 歯がしみる、検診をしてほしい |
| 診断 | 多数の補綴物不適合 |
| 治療費用 | ¥1,562,000-+ホワイトニング |
| リスクと副作用 |
|
| 院長コメント | 60代の女性です。35年前に顎関節症の治療のため、岡山大学歯学部にてかみ合わせをセラミックで直してもらったが、最近むし歯になってメタルで再治療したとのことでした。「金属の色が見えるのが気になる」「歯を白くしたい」とのご要望もあったので、保険診療と自費診療それぞれのメリット・デメリットをご説明し、歯を長持ちさせるためにセラミックによる全顎治療を希望されました。かみ合わせに関しては特に問題なかったので、かみ合わせが変化しないよう口腔内でのチェックを徹底し、短期間で終えることができました。審美面で歯の色が気になる部分はホワイトニングが終わってから最終補綴物を装着しました。歯の色が白くなり、しみるのもなくなったことを喜んでもらえました。 |


| 治療内容 | 全顎治療 |
|---|---|
| 主訴 | ほかの医院で治療している右下含め治したい |
| 診断 | 不良補綴物および臼歯部崩壊による咀嚼障害 |
| 治療期間 | 8か月 |
| 治療費用 | 補綴費用¥1,749,000-+インプラント手術費用¥1,320,000- |
| リスクと副作用 |
|
| 院長コメント | ちゃんと噛めて長持ちする治療する希望されたのでインプラントとジルコニア治療としました。 下の左右の奥歯はむし歯で崩壊していたので一本ずつのインプラントとしました。虫歯による抜歯でしたので抜歯即時インプラントを行いなるべくお体への負担が少ないように心がけました。途中プライベートのご予定があったこともありインプラント埋入の時期や待機時間などを綿密に打合せいたしました。そのおかげで約8カ月で全体の治療を終えることができました。ご本人も安心して噛めるようになったと喜んでおられました。 |


| 治療内容 | 全顎治療 |
|---|---|
| 主訴 | 前医でしみると言っても何もしてくれなかったので来た。治療希望 |
| 診断 | 不適合修復物 |
| 治療期間 | 10か月 |
| 治療費用 | 補綴費用¥1,914,000-+ホワイトニング |
| リスクと副作用 |
|
| 院長コメント | 「前の医院では月に一回クリーニングに行ってたがしみると伝えても「そうだね」と言われそのままだった。原因を知りたいし、治療して欲しい」と言って来院された50代女性です。 右上6のセラミックの隙間からしみていたので、当院でラバーダム下でのセラミック修復を行い、症状改善を認めました。他の部位もやっていきたいとのことでしたので、全体的に合ってないかぶせ物や詰め物をやり替えていきました。左上はインプラントを希望されましたが、外科手術に対しての恐怖心がおありだったので、無理にインプラントを勧めず、ブリッジで再度治療し直しております。また、前歯部はダイレクトボンディングで修復しました。その際、ホワイトニングで歯を白くしたいという希望もありましたのであらかじめ白めのプラスチックで修復しました。上の前歯の色は技工士に直接見てもらい、何度も調整を繰り返し、ご満足いただける色、長さ、形にできました。ホワイトニングは娘さんも紹介していただき、お二人で白い歯になられ、喜んでいただきました。 |


| 治療内容 | 全顎治療 |
|---|---|
| 主訴 | 他院で治療してもらったが、噛めない |
| 診断 | 医原性の咀嚼障害 |
| 治療期間 | 7か月 |
| 治療費用 | 補綴費用¥1,001,000+スプリント費用¥44,000 |
| リスクと副作用 |
|
| 院長コメント | 「他院で治療を繰り返してもらってたが噛み合わせが定まらず、7年ほど左が噛めない、サラダなど歯応えのあるものは両方噛めない」と言われ、噛み合わせ治療を希望されました。かなりの間噛み合わせがずれていたので、正しい位置がどこか全くわからない状態でした。噛み合わせを診断するため、スプリントをほぼ24時間1.5ヶ月使用してもらい、噛み合わせを探りました。噛み合わせが定まったところでデジタルスキャンし、技工士と綿密な打ち合わせをして、噛み合わせ調整を行いました。ほとんどの奥歯はすり減ったり削られたりしていたので、ジルコニアの被せ物や詰め物で再建しました。最終的に奥歯でしっかりと噛めるようになり、歯応えのあるものも召し上がることができるようになりました。 |


| 施術内容 | オフィスホワイトニングプラス |
|---|---|
| 施術回数 | オフィスホワイトニングプラス 単品×3回 |
| 施術費用 | ¥24,200×3回=¥72,600 |
| リスクと副作用 |
|
| 院長コメント | 20代男性でヘビースモーカーでした。 歯ぐきの色は残念ながらあまり改善は認めれらませんでしたが 歯の色は煙草を吸っていても色味表を基準に7段階以上あがりました。 |


| 施術内容 | ホワイトニングセット |
|---|---|
| 施術回数 | 4回 |
| 施術費用 | ¥52,800 |
| リスクと副作用 |
|
| 院長コメント | 目標色をはじめに共有し、「一緒に頑張っていきましょう」とスタートしました。 頑張ってホームホワイトニングをしていただいたので無事目標色を達成されました。 |


| 施術内容 | ホワイトニングエスコートコース |
|---|---|
| 施術回数 | 6回 |
| 施術費用 | ¥103,180 |
| リスクと副作用 |
|
| 院長コメント | 他の歯もセラミックで修復する予定でしたので、定着期までカバーしているエスコートコースを選択されました。 目標の白さも到達され、今もご家庭でホームホワイトニングを定期的にされており、白さをキープしておられます。 |


| 施術内容 | ホワイトニングエスコートコース |
|---|---|
| 施術回数 | 6回 |
| 施術費用 | ¥103,180 |
| リスクと副作用 |
|


| 主訴 | 奥歯に痛みがある、前歯で噛みきれない、歯並びを治したい |
|---|---|
| 診断 | 開咬(オープンバイト) |
| 治療期間 | 2年 |
| 治療費用 | ¥792,000(税込) |
| リスクと副作用 |
|
| 院長コメント | 他の医院で矯正は難しいと言われたとのことです。奥歯ばかりが当たって歯が欠けることもあり、何とかしたいとのご希望で当院来院されました。 顎間ゴム(上あごと下あごにまたがるゴム)をかけて上の歯を奥に移動させました。「マウスピースを装着しながら接客をしたがしゃべりにくいということは無く、マスクを外しても気づかれなかった」と驚いておられました。仕上がりに大変満足され「矯正をしてよかった」とのお言葉をいただきました。治療初めの歯を動かす際は少し痛かったそうですが、その後は特に痛みを感じなかったとのことです。 |


| 主訴 | 下の前歯のガタガタが気になる |
|---|---|
| 診断 | 受け口+叢生(ガタガタ) |
| 治療期間 | 1年8カ月 |
| 治療費用 | 矯正費用¥792,000(税込) +補綴費用924,000(税込) +ホワイトニング |
| リスクと副作用 |
|
| 院長コメント | マウスピース矯正で受け口を直すために顎間ゴム(上あごと下あごにまたがるゴム)をかけてもらいました。また、上あごと下あごの真ん中もずれていたので顎間ゴムでそろえました。 下のがたつきもきれいに治ったのでご本人も大変満足されておりました。矯正治療終了後かぶせ物や詰め物をやり替え、スムーズに全体治療を終えることができました。矯正治療中にホワイトニングも行い、歯並びと歯の色、両方改善できて大変喜んでもらえました。 |


| 主訴 | 前歯がねじれて出っ歯になっている |
|---|---|
| 診断 | 上顎前突 |
| 治療期間 | 1年8カ月 |
| 治療費用 | ¥792,000 |
| リスクと副作用 |
|
| 院長コメント | 10代女性でお母さまの紹介で来院されました。他の歯にがたつきはないのでスペースを作るために歯と歯の間を0.4㎜程度削っていきました(ディスキング)。また。マウスピースをとてもまじめに装着されていたので、理想的な歯並びを手に入れられました。 |


| 主訴 | 下の前歯の隙間が気になる。右上の前歯が中に入ってるのが気になる |
|---|---|
| 診断 | 不正咬合 |
| 治療期間 | 2年5カ月 |
| 治療費用 | ¥792,000 |
| リスクと副作用 |
|
| 院長コメント | 下の前歯が2本生まれつきない20代女性でした。お母さまの紹介で来院されました。治療開始し、順調に進んでいましたが途中妊娠・出産がありマウスピースを装着できない時期もありましたが、無事に期限内に終わることができました。下の前歯がない部分は適切な間隔をあけたのち、プラスチックで修復しました。見た目はとても満足してもらえました。 |



| 主訴 | 前歯が出ているのが気になる |
|---|---|
| 診断 | 上顎前突 |
| 治療期間 | 2年6カ月 |
| 治療費用 | ¥792,000 |
| リスクと副作用 |
|
| 院長コメント | 20代女性の方で滋賀県から実家に定期的に帰省されるタイミングで治療を行ってほしいとの希望でした。頻度としては2から3か月に一度通っていただき、ついでに定期検診も受けられました。上あごが下あごに対して少し小さかったのに加え、上あごの歯並びの叢生が強かったので①歯と歯の間をディスキングする非抜歯計画、②前から4番目の歯を4本抜歯する計画、を両方作成しました。結果として非抜歯計画の適応だったので歯を抜かずに治療を行いました。真面目な方でしたのでマウスピース1週目ですでにきれいに並んでいたので患者様は大変喜ばれておりました。 |


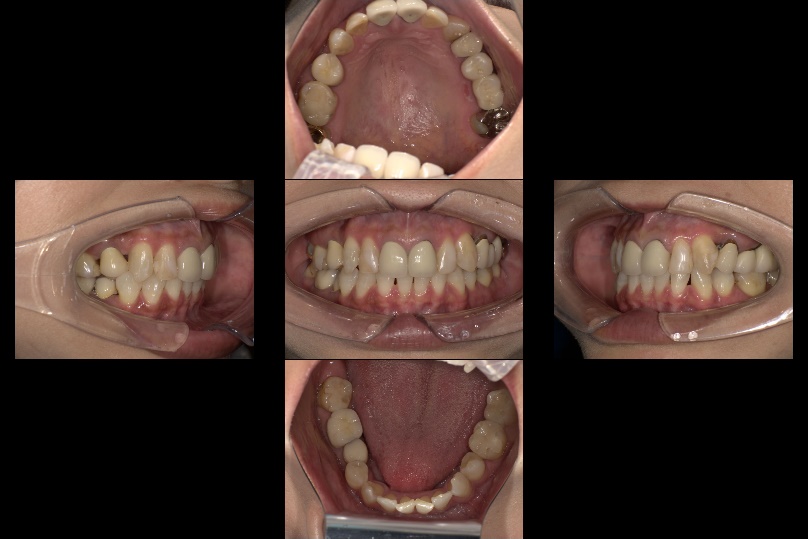
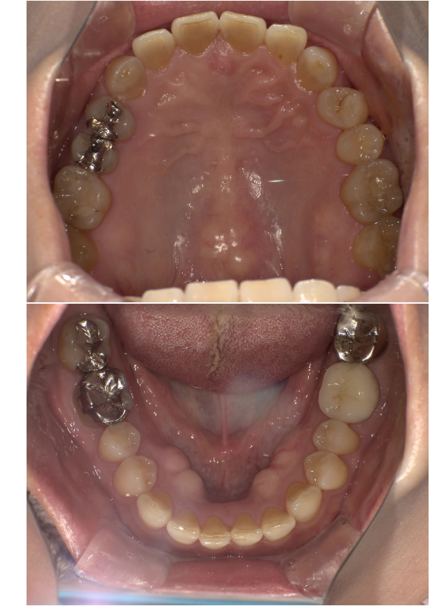
| 主訴 | 歯並びが気になる |
|---|---|
| 診断 | 叢生 |
| 治療期間 | 1年4カ月 |
| 治療費用 | ¥792,000 |
| リスクと副作用 |
|


| 治療内容 | icon(アイコン)治療 |
|---|---|
| 治療費用 | ¥33,000×2歯 = ¥66,000 |
| 治療回数 | 1回 |
| リスクと副作用 |
|
| 治療内容 | icon(アイコン)治療 |
|---|---|
| 治療費用 | ¥33,000×2歯 = ¥66,000 |
| 治療回数 | 1回 |
| リスクと副作用 |
|
| 治療内容 | icon(アイコン)治療 |
|---|---|
| 治療費用 | ¥33,000×2歯 = ¥66,000 |
| 治療回数 | 1回 |
| リスクと副作用 |
|