小児矯正(マイオブレース)
小児矯正(マイオブレース)
矯正治療相談の予約はこちらから
お子さんの歯並びが気になる…というご相談が増えています。お子さんのお口周りやお食事の様子、普段の様子を少しじっくり観察してみてください。
次のような症状はありませんか?



お子様にこのような症状が見られる場合、お口周りの筋肉や顎の発育に何らかの問題があり、歯列不正や咬合不正の原因となっている可能性があります。
詳しくはブログでもご紹介しています。ご覧ください。
歯並びは毎日の生活習慣や習癖で左右され、上記の症状が1つまたはいくつか組み合わさることで歯並びはどんどん悪くなってしまいます。
当院では歯並びが悪くなる原因となる、お口周りの筋肉の不調和や悪い癖を改善するマイオブレース治療を行っております。
マウスピース型の矯正装置を使用します。
日中の1時間と就寝中に装着し、頬・舌・唇などのお口周りの筋肉を鍛える「トレーニング(アクティビティ)」を並行して行うことで、お子様の歯並びが悪くなる悪習慣を改善していきます。

自宅でのトレーニングは毎日5分程度、月1回の通院では専門のスタッフと一緒に適切にトレーニングができるか確認します。
顎を成長させることにより、気道(呼吸した空気が通る器官)も成長させることができ、全身面での健康においてもメリットがあります。他の矯正治療に比べて痛みはほとんどありません。

上記のトレーニングを段階的に行います。専門のスタッフと一緒にひとりひとりに合わせたトレーニングを行うのが特徴です。お家でのトレーニングで困らないように、分からないことは何でも聞いてくださいね。

メリット
・痛みや違和感がほとんどない
・抜歯の必要性がない
・歯並びの改善
・悪い癖を改善でき、後戻りが少ない
・身体の健康に繋がる
・装着時間が短い(日中1時間と就寝時)
・他の矯正治療より費用が抑えられる
・鼻呼吸が獲得できる
デメリット
・毎日のトレーニングや装置の装着が必要なため、
ご家族の協力が必要
・お子様の気持ちで治療成果が左右される
・歯並びの改善は見込めるが、
他の矯正治療よりは劣る

5~10歳のお子様が対象です。
お子様の歯並びやお口の状態など、マイオブレース治療が適応か診断させていただきます。
まずはお気軽にご相談ください。


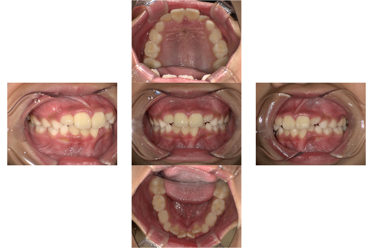
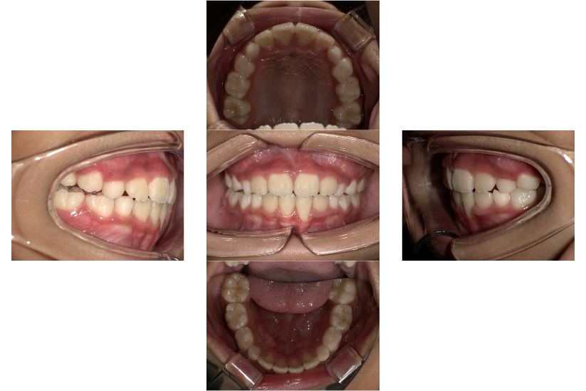
| 年齢(開始時) | 10歳 |
|---|---|
| 主訴 | 歯並びが気になる、嚥下が弱い |
| 治療期間 | 9ヶ月 |
| 費用 | ¥385,000(税込) |
| 治療内容 |
|
| 治療のリスク |
|


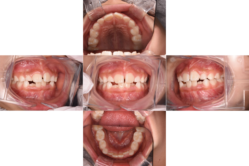
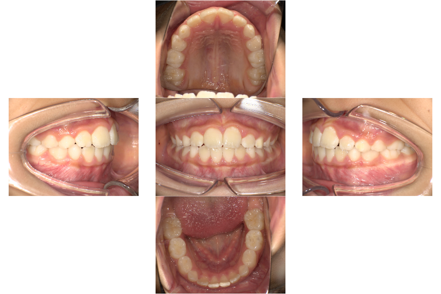
| 年齢(開始時) | 8歳 |
|---|---|
| 主訴 | 口呼吸、夜間のはぎしりといびきが気になる |
| 治療期間 | 1年 |
| 費用 | ¥385,000(税込) |
| 治療内容 |
|
| 治療のリスク |
|